Case Report: Gastric Wall Thickening: Radiological Diagnostic Challenges in Gastric Malignancy
DOI:
https://doi.org/10.30742/jikw.v10i1.983Keywords:
gastric mucosal thickening, abdominal CT scan, lymphoma, stromal tumor, adenocarcinomaAbstract
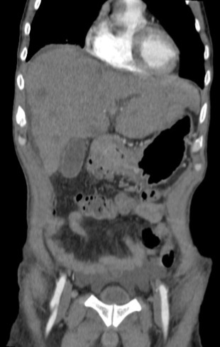
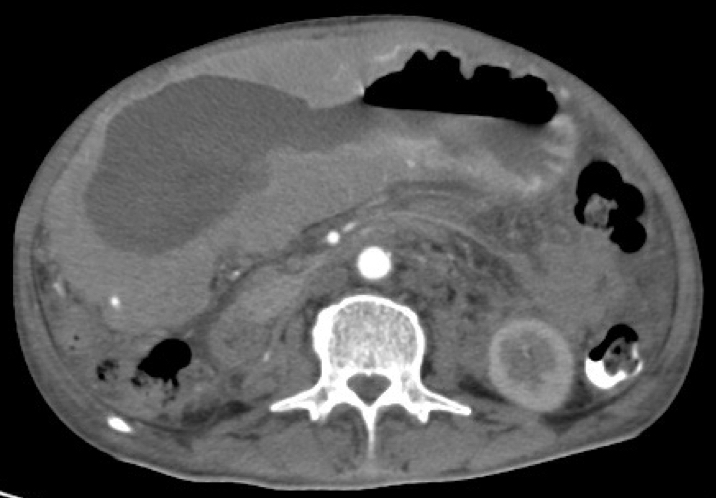
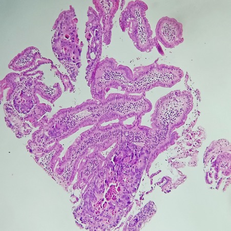
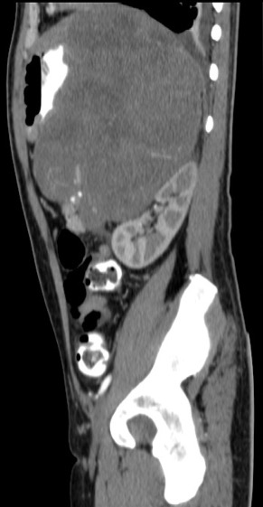
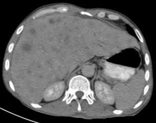
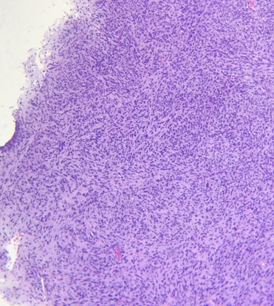
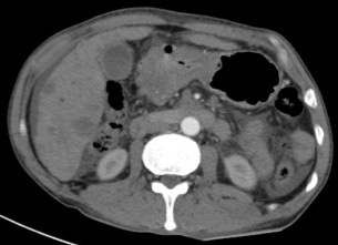
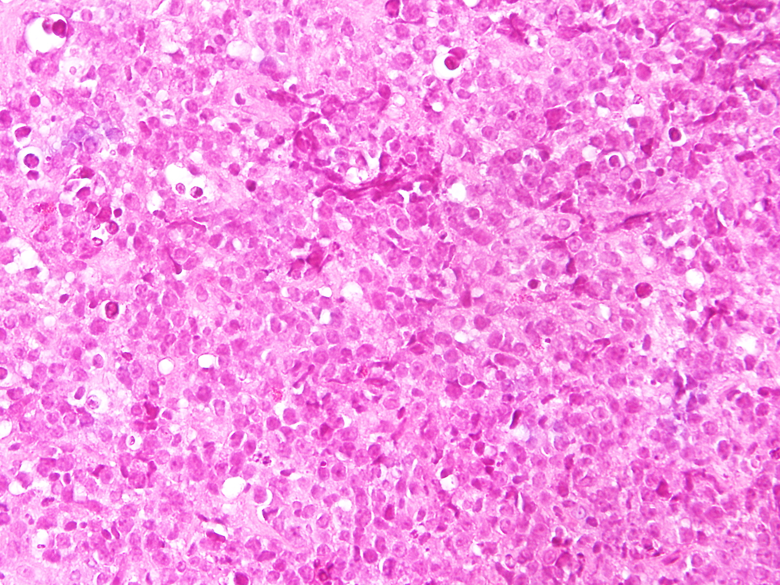
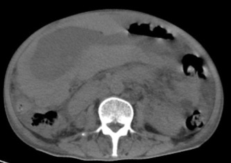
Gastric abnormalities show nonspecific gastrointestinal symptoms and similarly radiological findings. Intra and extra luminal gastric wall thickening are the most common finding in benign and malignant pathologic process. This aim of this case report was to describe several characteristics such as the location and size of the lesion, involvement of the gastric wall and surrounding structures, calcifications, and contrast enhancement pattern which can assist in radiological diagnosis. Several cases at our institution have similar gastrointestinal complaints, however, there were different lesions characteristic found in contrast enhanced abdominal CT scan. The first case 72-years-old man experienced hematemesis with radiologic finding diffuse gastric mucosal thickening as well as homogenous contrast enhancement but without calcification. The second case 37-years-old man complaint dizziness and melena with radiologic finding large tumor more than 10 cm in size, amorph calcification and heterogenous contrast enhancement. The last 60-years-old man case experienced melena and hematemesis, from abdominal CT scan showed irregular gastric mucosal thickening with heterogenous contrast enhancement and fat stranding around the lesion, without calcification. Methods used in these cases were contrast-enhanced abdominal CT scan, esophagogastroduodenoscopy (EGD), and biopsy in order to determine the diagnosis. Contrast-enhanced abdominal CT scan plays a vital role in describing the lesion characteristics which affects the determination of treatment options and future prognosis.
References
Ba-Salamah A, Prokop M, Uffmann M, Pokieser P, Teleky B, Lechner G, 2003. Dedicated Multidetector CT of The Stomach: Spectrum of Disease. RadioGraphics. 23: 625-644.
Chen CY, Jaw TS, Wu DC, Kuo YT, Lee CH, Huang WT, et al, 2010. MDCT of Giant Gastric Folds: Differential Diagnostic. AJR. 195: 1124-1130.
Flip PV, Cuciureanu D, Diaconu LS, Vladareanu AM, Pop CS, 2018. MALT Lymphoma: Epidemiology, Clinical Diagnosis and Treatment. Journal of Medicine and Life. 11(3): 187-193.
Hallinan JTPD anf Venkatesh SK, 2013. Gastric Carcinoma: Imaging Diagnosis, Staging and Assessment of Treatment Response. Cancer Imaging. 13(2): 212-227.
Hayashi D, Devenney-Cakir B, Lee JC, Kim SH, Cheng J, Goldfeder S, et al, 2010. Mucosa-Associated Lymphoid Tissue Lymphoma: Multimodality Imaging and Histopathologic Correlation. AJR. 195: W105–W117.
Hong X, Choi H, Loyer EM, Benjamin RS, Trent JC, Charnsangavej C, 2006. Gastrointestinal Stromal Tumor: Role of CT In Diagnosis and In Response Evaluation and Surveillance after Treatment With
Imatinib. RadioGraphics. 26: 481-495.
Kang HC, Menias CO, Gaballah AH, Shroff S, Taggart MW, Garg N, et al, 2013. Beyond the GIST: Mesenchymal Tumors of The Stomach. RadioGraphics. 33: 1673-1690.
Kim JW, Shin SS, Heo SH, Lim HS, Lim NY, Park YK, et al, 2015. The Role of Three-Dimensional Multidetector Ct Gastrography in The Preoperative Imaging of Stomach Cancer: Emphasis on Detection and Localization of The Tumor. Korean J Radiol. 16(1): 80-89.
Lin YM, Chiu NC, Li AFY, Liu CA, Chou YH, Chiou YY, 2017. Unusual Gastric Tumors and Tumor-Like Lesions: Radiological with Pathological Correlation and Literature Review. World J Gastroenterol. 23(14): 2493-2504.
Lo Re G, Federica V, Midiri F, Picone D, La Tona G, et al, 2016. Radiological Features of Gastrointestinal Lymphoma. Gastroenterol Res Pract. 2016: 2498143.
Lyons K, Le LC, Pham YTH, Borron C, Park JY, Tran CTD, et al, 2019. Gastric Cancer: Epidemiology Biology and Prevention: A Mini Review. European Journal of Cancer Prevention. 28(5): 397-412.
Nagpal P, Prakash A, Pradhan G, Vidholia A, Nagpal N, et al, 2017. MDCT Imaging of The Stomach: Advances and Applications. Br J Radiol. 90(1069): 20160412.
Panbude SN, Ankathi SK, Ramaswamy AT, Saklani AP, 2019. Gastrointestinal Stromal Tumor (GIST) from Esophagus to Anorectum – Diagnosis, Response Evaluation and Surveillance on Computed Tomography (CT) Scan. Indian Journal of Radiology. 29(2):133-140.
Preethi G, Bradenham CH, Raptis C, Menias CO, Mellnick VM, 2015. CT of Gastric Emergencies. RadioGraphics. 35: 1909-1921.
Sharma V, Rana SS, Bhasi DK, 2015. Diffuse Gastric Wall Thickening: Appearances Can be Deceiptive. Clinical Gastroenterology and Hepatology. 13: e121–e122.
Sitarz R, Skierucha M, Mielko J, Offerhaus GJA, Maciejewski R, Polkowski WP, 2018. Gastric Cancer: Epidemiology, Prevention, Classification, and Treatment. Cancer Manag Res. 10: 239-248.
Speranza V, Lomanto D. 2001. Part II, Stomach and duodenum: benign tumors of the duodenum and stomach. Surgical Treatment: Evidence-Based and Problem-Oriented. Zuckschwerdt, Munich.
Sripathi S, Rajagopal KV, Srivastava RK, Ayachit A, 2011. CT Features, Mimics and Atypical Presentations of Gastrointestinal Stromal Tumor (GIST). Indian Journal of Radiology. 21(3): 176-181.
Thomas AG, Vaidhyanath R, Kirke R, Rajesh A, 2011. Extranodal Lymphoma from Head to Toe: Part I, The Head And Spine. AJR. 197: 350–356.
Vernuccio F, Taibbi A, Picone D, La Grutta L, Midiri M, Lagalla R, et al, 2016. Imaging of Gastrointestinal Stromal Tumors: from Diagnosis to Evaluation of Therapeutic Response. Anticancer research. 36: 2639-2648.
Zytoon AA, El-Atfey SIB, Hassanein SAH, 2020. Diagnosis of Gastric Cancer by MDCT Gastrography: Diagnostic Characteristics and Management Potential. Egyptian Journal of Radiology and Nuclear Medicine. 51: 30-37.
Downloads
Additional Files
Published
Issue
Section
License
The journal operates an Open Access policy under a Creative Commons Attribution-NonCommercial 4.0 International License. Author continues to retain the copyright if the article is published in this journal. The publisher will only need publishing rights. (CC-BY-NC 4.0)












